Radiografías de tórax anteroposterior y lateral realizadas en urgencias.
El presente artículo describe el caso de un paciente cuyo motivo inicial de consulta fue dolor costal, posteriormente relacionado con enfermedad metastásica avanzada:
Caso clínico
Se presenta el caso de un varón de 57 años, exfumador desde hacía dos años con un consumo previo de 30 paquetes/año. Entre sus antecedentes personales destacaban un infarto agudo de miocardio con elevación del segmento ST y un melanoma maligno estadio III de Clark con índice de Breslow de 1,5 mm localizado en la región dorsal derecha. El tumor había sido tratado quirúrgicamente en 2015, manteniéndose inicialmente en seguimiento dermatológico, aunque el paciente abandonó los controles dos años antes de la consulta actual.
El paciente estaba en tratamiento crónico con ácido acetilsalicílico 100 mg, Atozet 10/80 mg, Nilemdo 180 mg, enalapril 5 mg, bisoprolol 2,5 mg y omeprazol 20 mg.
Seis meses antes del diagnóstico actual había acudido al servicio de urgencias por dolor en la región costo-dorsal derecha, que fue interpretado como dolor osteomuscular y que cedió con analgesia, sin requerir estudios complementarios.
Posteriormente acudió nuevamente a urgencias al notar una masa dolorosa en la región dorsal derecha. En la exploración física cardiovascular y pulmonar no se observaron alteraciones. Sin embargo, se detectó una masa visible y palpable en la cara lateral dorsal, adherida a planos profundos.
Se realizó una radiografía de tórax que evidenció una imagen típica denominada “suelta de globos”, caracterizada por múltiples lesiones nodulares pulmonares bilaterales de hasta 2 cm de diámetro, sugestivas de diseminación hematógena. Asimismo, se identificó una lesión lítica en el noveno arco costal derecho.
Ante estos hallazgos se decidió el ingreso en el servicio de neumología para completar el estudio. El paciente negaba clínica respiratoria significativa, refiriendo únicamente tos y expectoración ocasional, así como episodios de mareo.
En la analítica destacaron valores elevados de PSA (6,33 ng/ml) y fibrinógeno (647,95 mg/dl), sin otras alteraciones relevantes. Posteriormente se realizaron una resonancia magnética cerebral y una tomografía computarizada cervical, torácica, abdominal y pélvica. Ambas pruebas revelaron múltiples metástasis localizadas en cerebro, pulmón, hueso, partes blandas, suprarrenales, hígado y vesícula.
Se realizó biopsia de la masa dorsal, confirmándose el diagnóstico de melanoma maligno metastásico. Como tratamiento se inició inmunoterapia con nivolumab y corticoterapia, observándose inicialmente mejoría de la sintomatología neurológica.
No obstante, tres meses después del diagnóstico el paciente reingresó por deterioro del estado general y finalmente falleció durante el ingreso hospitalario.
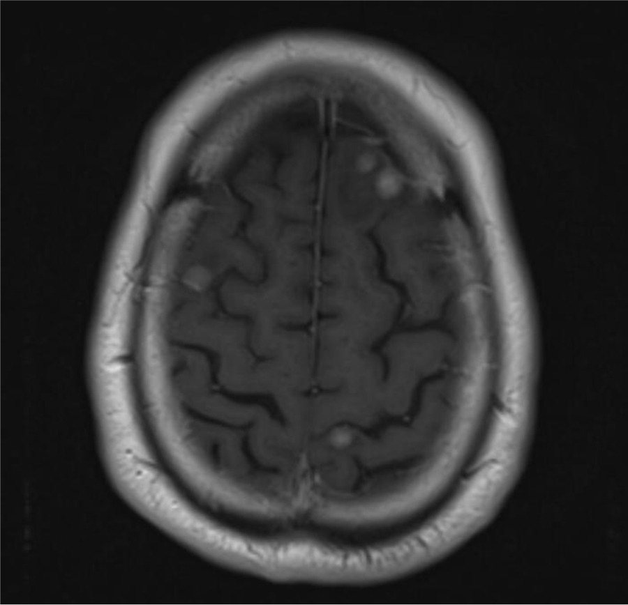
RM cerebral que muestra múltiples metástasis nodulares con edema perilesional.
Discusión
El melanoma maligno es una neoplasia con alto potencial metastásico, especialmente en fases avanzadas o cuando el seguimiento clínico es irregular. La diseminación hematógena puede afectar múltiples órganos, siendo frecuentes las metástasis pulmonares, cerebrales, hepáticas y óseas.
La imagen radiológica descrita como “suelta de globos” corresponde a múltiples nódulos pulmonares bien delimitados distribuidos en ambos campos pulmonares, hallazgo característico de metástasis pulmonares múltiples. Este patrón suele asociarse a tumores con elevada capacidad de diseminación hematógena.
El dolor costal en este caso se relacionó con una lesión lítica metastásica en el noveno arco costal derecho. Sin embargo, inicialmente fue interpretado como dolor osteomuscular, lo que refleja la dificultad diagnóstica cuando los síntomas son inespecíficos.
El abandono del seguimiento dermatológico probablemente contribuyó a la progresión tumoral y al diagnóstico en un estadio avanzado. Esto pone de manifiesto la importancia del control clínico periódico en pacientes con antecedentes de melanoma.
En cuanto al tratamiento, la inmunoterapia con inhibidores de puntos de control inmunitario, como el nivolumab, ha supuesto un avance significativo en el manejo del melanoma metastásico. Sin embargo, en casos con afectación multiorgánica extensa, el pronóstico continúa siendo desfavorable.
Conclusión
El dolor costal puede constituir una manifestación inicial de enfermedad metastásica en pacientes con antecedentes de melanoma. La presencia de síntomas persistentes o atípicos debe motivar una evaluación diagnóstica exhaustiva, especialmente en pacientes con antecedentes oncológicos.
Asimismo, este caso subraya la importancia del seguimiento clínico continuo tras el tratamiento del melanoma, ya que la detección precoz de recurrencias o metastasis puede ser determinante para mejorar el pronóstico y ampliar las opciones terapéuticas disponibles. En este sentido, el seguimiento periódico permite identificar signos de progresión tumoral en fases más tempranas y facilitar la instauración de tratamientos como la inmunoterapia o las terapias dirigidas.
Además, este caso pone de relieve la importancia de mantener una adecuada coordinación entre los distintos niveles asistenciales, especialmente entre atención primaria, dermatología, urgencias y especialidades hospitalarias, para garantizar una valoración integral del paciente.
En conclusión, la experiencia descrita por los médicos Hernández-García y Fidalgo Navarro recuerda la necesidad de no subestimar síntomas persistentes en pacientes con antecedentes oncológicos y refuerza el valor del seguimiento clínico continuado para la detección precoz de recaídas y metástasis en el melanoma maligno.
articulo original:www.sciencedirect.com/science/article/pii/S0212656726000296?via%3Dihub
A través del portal del paciente usted podrá:
Para obtener sus claves de acceso personalizadas, deberá solicitarlas presencialmente en cualquiera de los mostradores de admisión de consultas, en información o en Atención al Paciente, presentando su DNI.
Si necesita ayuda, envíenos un email a: citaonline_arroba_medastur.com
Si ya es paciente del Centro Médico de Asturias le recordarnos que MEDICINA ASTURIANA, S.A. es responsable del tratamiento de sus datos con fines de prestación de servicios de asistencia sanitaria y gestión hospitalaria, del que dispone de información amplia en el apartado Datos Personales de esta página web, así como en los mostradores de admisión y consultas, y puede solicitarla en Atención al paciente. Si desea darse de alta en el Portal del paciente, su registro le permitirá además acceder por esta vía al historial de sus citas, informes y resultados, así como modificar sus datos personales.
Si aún no es paciente del Centro Médico de Asturias a continuación le facilitamos información sobre el tratamiento de sus datos:
Quién trata sus datos: MEDICINA ASTURIANA, S.A. Dirección: Avda. Richard Grandio, s/n - 33193 Latores (Oviedo) Correo electrónico: contacto_arroba_medastur.com Teléfono: 985 250 300. Con qué finalidad: Dar de alta su ficha personal para permitir la solicitud de citas de las especialidades o servicios que necesite y enviarle confirmación al teléfono y al correo electrónico facilitados. Por qué puede hacerlo: Porque es necesario para la aplicación a su solicitud de medidas precontractuales y solicitar telemáticamente los servicios del Centro en tanto sea dado de alta como paciente del mismo. Cuánto tiempo se conservan los datos: En tanto no sea paciente del Centro, puede solicitar la baja del servicio, en adelante sus datos formarán parle de su historia clínica en el Centro.
En todo caso, le recordamos que cuenta con los derechos de acceso, rectificación, supresión, oposición, limitación del tratamiento, portabilidad y revocación de su consentimiento. Puede contactar con el delegado de protección de datos a través del correo electrónico dpd_arroba_medastur.com para plantear cualquier duda o si no estuviese conforme con el tratamiento de sus datos, o puede presentar una reclamación ante la Agencia Española de Protección de Datos (AEPD www.aepd.es). Tiene a su disposición más información sobre el tratamiento de sus datos en los mostradores de admisión y consultas o en el apartado Datos Personales de esta página web.